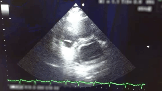
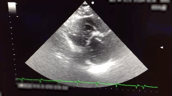
A Patient with Pulmonary Embolism Treated with Systemic Thrombolysis 圖一 Four chamber view-v1 圖一 Parasternal short axis view (已後製 裁切消音)-v1 圖三 Four chamber view (已後製 裁切消音)-v1 圖三 Parasternal short axis view (已後製 裁切消音)-v1 返回 VTE Casebook